Liver Disease
The liver is the largest organ in the body and performs a wide range of important functions, including energy storage, production of bile, metabolism of fat and sugar, and detoxification of toxic substances. On the other hand, it is also known as the "silent organ," and it is not uncommon for the disease to have progressed by the time it is noticed. The Department provides medical care based on the latest evidence for a wide range of liver diseases, including viral hepatitis such as hepatitis B and C, fatty liver disease, autoimmune liver disease, cirrhosis, liver cancer, and liver failure. We also collaborate with related departments, multiple professions, and related medical institutions to provide optimal treatment for each patient according to his or her individual condition.
The disease is caused by infection with hepatitis viruses such as hepatitis B virus (HBV) and hepatitis C virus (HCV). chronic hepatitis B is treated with antiviral therapy using interferon and nucleic acid analogs, and chronic hepatitis C with direct-acting antiviral agents. We also use a combination of non-invasive fibrosis assessment methods and liver biopsy to evaluate liver fibrosis and follow up patients according to their risk of developing liver cancer.
Fatty liver disease is a general term for the excessive accumulation of fat in the liver (so-called fatty liver). Most patients remain asymptomatic, but some develop liver inflammation and fibrosis, which may lead to cirrhosis and liver cancer. Fatty liver disease can be classified into metabolic dysfunction-related fatty liver disease based on metabolic abnormalities such as obesity and diabetes, alcohol-related liver disease due to heavy alcohol consumption, metabolic dysfunction alcohol-related liver disease with metabolic abnormalities and moderate alcohol consumption, and fatty liver disease of unknown etiology. We conduct medical interviews, blood tests, imaging tests, liver hardness measurements, liver biopsies, and other tests to understand the pathophysiology, and provide support for weight loss, treatment of complications, and reduction of alcohol consumption through exercise and diet therapy.
Autoimmune liver diseases, the causes of which are not fully understood, but in which the patient's own immune system is thought to be involved in the pathogenesis, are mainly autoimmune hepatitis, primary cholestatic cholangitis, and primary sclerosing cholangitis. Diagnosis is made by blood tests, imaging studies, and liver biopsy. For autoimmune hepatitis, ursodeoxycholic acid, corticosteroids, and azathioprine are used; for primary cholangitis, ursodeoxycholic acid and bezafibrate are used; and for primary sclerosing cholangitis, ursodeoxycholic acid and endoscopic therapy are used depending on the pathological condition. In advanced cases, multidisciplinary treatment including liver transplantation is performed.
As liver disease progresses, the liver gradually hardens, leading to cirrhosis. Patients with cirrhosis suffer from various complications such as hepatocellular carcinoma, ascites, hepatic encephalopathy, jaundice, and esophagogastric varices. We provide treatment for these complications according to each patient's condition, such as administration of branched-chain amino acid preparations, diuretics, laxatives, zinc preparations, ascites puncture drainage, and albumin preparations. To prevent bleeding from esophagogastric varices, we perform endoscopic variceal ligation (Figure), endoscopic variceal sclerotherapy (Figure), and retrograde transvenous embolization with balloon occlusion in cooperation with the Department of Radiology. In case of rupture of varicose veins, we are ready to respond urgently.

Figure 1: Endoscopic varicocele ligation

Figure 2. Endoscopic variceal sclerotherapy. Inflow of sclerosing agent into esophageal varices.
Liver cancer is a malignant tumor that forms in the liver and can be divided into primary liver cancer, which originates from liver cells, and metastatic liver cancer, which is metastatic from cancer in other organs. Primary liver cancer is mostly hepatocellular carcinoma arising from liver cells, followed by cholangiocarcinoma. Hepatocellular carcinoma is mostly caused by viral hepatitis, but recently non-viral causes, including fatty liver disease, are on the rise.
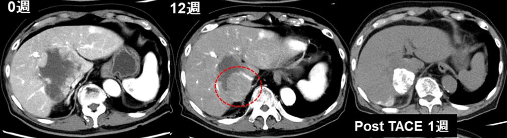
There are various methods of treatment for hepatocellular carcinoma, including hepatectomy, radiofrequency/microwave ablation, catheter therapy (hepatic arterial chemoembolization, hepatic arterial infusion), radiation therapy, systemic drug therapy, and liver transplantation. The Department holds weekly joint conferences with the Department of Gastroenterological Surgery, the Department of Diagnostic Radiology, and the Department of Radiotherapy to provide the most appropriate treatment for each patient's condition. Furthermore, for advanced liver cancer, we aim to achieve a liver cancer-free state by appropriately combining systemic drug therapy with surgery, local therapy, and catheterization, in addition to a single treatment (Figure). Radiofrequency/microwave ablation therapy is also performed for metastatic liver cancer, depending on the disease status.

Figure 3. After 12 weeks of drug therapy, the majority of the tumor showed a shrinking trend. Catheterization was added for residual disease.
Acute liver failure is a condition in which liver damage occurs due to various causes in the liver with no history of liver disease, and the liver cells are rapidly destroyed, rendering the liver unable to perform its functions. It is classified into two types: comatose type with hepatic encephalopathy of degree II or higher and non-comatose type without hepatic encephalopathy. On the other hand, acute-on chronic liver failure (ACLF) is diagnosed when a patient's liver is in a state of cirrhosis and exacerbating factors such as heavy alcohol consumption, infection, gastrointestinal bleeding, or exacerbation of the underlying disease are added to the original liver condition. In our department, both acute liver failure and ACLF are treated in a multidisciplinary manner, including liver transplantation, under the consultation system of multiple departments.
We treat a wide range of conditions from relatively rare diseases to those that are becoming increasingly common, such as hepatic venous outflow tract disorders as represented by Budd-Chiari syndrome, Fontan-associated liver disease (FALD) after Fontan surgery for congenital heart disease, and liver damage caused by immune checkpoint inhibitors, which have recently become applicable to treatment of many malignant tumors. We treat a wide range of conditions, from relatively rare diseases to those that are becoming increasingly common.
For liver cancer, joint conferences are held weekly with the Departments of Gastroenterological Surgery, Diagnostic Radiology, and Radiotherapy to provide optimal treatment, taking into consideration liver reserve capacity, stage of liver cancer, and patient's wishes. For liver diseases that require liver transplantation, such as non-compensated liver diseases, transplant review meetings are held regularly by several departments, including the Department of Gastroenterological Surgery, Department of Pediatrics, Department of Psychiatry, Department of Emergency Medicine, and Department of Intensive Care. For patients in urgent need of transplantation such as acute liver failure and acute-on chronic liver failure, the Hepatitis Working Group is held as needed, and a system is in place to provide transplantation care promptly.
The profile of cancer-related genes differs from patient to patient. The Department performs a single test (oncogene panel test) to examine cancer-related genes, especially genes that may be targets of therapy, in patients whose disease has progressed on standard treatment. The results of the Cancer Gene Panel Test are evaluated by an expert panel to provide useful information for the selection of anticancer drugs.
The Department has established a system that allows for seamless diagnosis, treatment, and follow-up in collaboration with affiliated hospitals and core hospitals in the region. We also conduct independent clinical research in collaboration with many affiliated hospitals and utilize accumulated clinical data and clinical specimens to elucidate the pathogenesis of a wide range of liver diseases, search for biomarkers, and develop personalized treatment strategies. In addition, we are actively conducting clinical trials of new treatments for unresectable hepatocellular carcinoma and fatty liver disease, as well as nationwide multicenter collaborative studies.
Nutritional guidance has become increasingly important in recent years in the treatment of liver diseases. In collaboration with the Nutrition Management Office, the Department of Liver Disease provides nutritional guidance to individual patients, both inpatients and outpatients, through nutritional assessment and body composition evaluation. In addition, most liver diseases are chronic and require long-term outpatient care. In particular, patients with cirrhosis and liver cancer often require frequent visits to the hospital and hospitalization, so we provide support that emphasizes quality of life (QOL) in cooperation with the Patient Comprehensive Support Center.